Management of Belching, Hiccups, and Aerophagia

Albert J. Bredenoord

Disclosures

Clin Gastroenterol Hepatol. 2013;11(1) 

In This Article

Aerophagia

Aerophagia refers to the disorder in which patients swallow air so frequently in such large quantities that it results in symptoms.[17] Part of the swallowed air is vented through gastric belches and part of the air reaches the intestines where it causes abdominal distention and bloating. Some cases of children with mental disabilities have been described in which extreme volumes of swallowed air resulted in extreme dilatation of the stomach and intestines followed by gastric volvulus, ileus, and breathing difficulties.[70–72]

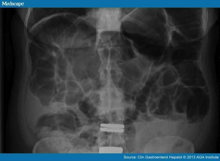
Bloating and abdominal distention are very common symptoms in patients with irritable bowel syndrome, functional dyspepsia, and constipation, but true aerophagia is very rare. In 2009, the first report in which the existence of a syndrome of excessive air swallowing in patients with symptoms of bloating and distention and signs of excessive intestinal air on abdominal radiographs was unambivalently shown was published in this journal.[73] By using impedance monitoring, it was observed that a group of patients with isolated excessive intestinal gas and symptoms related to this showed excessive air swallowing. Other symptoms besides bloating were flatulence, abdominal or epigastric pain, and constipation. Gastric belching is usually not the predominant symptom in these patients and supragastric belching is not observed at all in patients with aerophagia. In some patients with true aerophagia, episodes of air swallowing and symptoms can be distinguished followed by episodes without complaints. In such episodes patients report abdominal distention accompanied by pain and belching (Table 5). A differential diagnose with a mechanical ileus can be difficult and 30% of our patients have undergone a negative explorative laparotomy after presentation at the emergency room. In retrospect, the abdominal radiographs showed distended intestinal loops but no air-fluid levels and thus no evidence of obstruction (Figure 2). Laparotomy thus should be avoided in these patients.

Figure 2.

Abdominal radiograph of a patient with aerophagia showing a large volume of intestinal and colonic air; there are some signs of constipation as well but no air-fluid levels. Impedance monitoring showed massive air swallowing.

In irritable bowel syndrome and constipation, an increased volume of intestinal air can be found as well and various causes such as differences in intestinal gas handling, malabsorption, and bacterial overgrowth all have been suggested to play a role.[74,75] Increased air swallowing, however, is not observed in IBS.

Management of Aerophagia

The treatment of aerophagia is based mainly on expert opinion because no controlled trials are available. For the management of aerophagia, we make a distinction between patients with aerophagia who have chronic stable symptoms and patients with acute and severe episodes of aerophagia in which it can lead to a threatening situation. The latter mainly occurs in mentally disabled patients and can result in volvulus of organs and obstruction and breathing difficulties owing to increased abdominal pressure. In that case a nasogastric tube to relieve gastric air seems reasonable and sedatives such as lorazepam may help to reduce repetitive air swallowing.

In the majority of patients, the symptoms are more chronic and in these patients a different approach is warranted. It is advisable to restrict the use of carbonated beverages and eat slowly. Similar to patients with excessive supragastric belching, treatment with speech therapy seems sensible but no published reports on this are available. The aim of speech therapy for aerophagia is to reduce air swallowing, and this is thus a different approach compared with the treatment of supragastric belching.

Surface-reducing drugs such as dimethicone and simethicone prevent gas formation in the intestines and may alleviate symptoms as well. In case of constipation secondary to intestinal and colonic distention, the use of laxatives is indicated (Table 5).

processing....